Skip to content
Monday – Friday 7:30 AM – 4:30 PM
17316 106A Ave NW, Edmonton AB, T5S 1E6
780-440-3844
Facebook page opens in new window
Polar Dental Lab
Your full-service Edmonton dental lab! 780-440-3844
Home
About Us
Products
Smile Design
Rx Forms
Contact
Search:
Search
Home
About Us
Products
Smile Design
Rx Forms
Contact
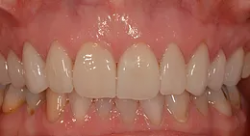
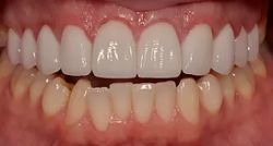
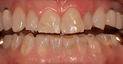
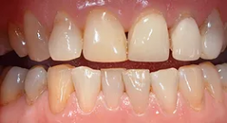
Smile Design Second to None
Go to Top